Lompat ke konten Lompat ke sidebar Lompat ke footer

View Extragonadal Germ Cell Brain Tumor UK

View Extragonadal Germ Cell Brain Tumor UK. Literature suggests that the only known risk factor for extragonadal germ cell tumors (egcts) is klinefelter syndrome (47xxy), which is associated with mediastinal nonseminomatous germ cell. Among other lesions, metastatic disease, xanthogranulomas, intrasellar gangliocystomas are infrequent.

GERMINOMA MEDIASTINUM PDF
GERMINOMA MEDIASTINUM PDF from www.humpath.com
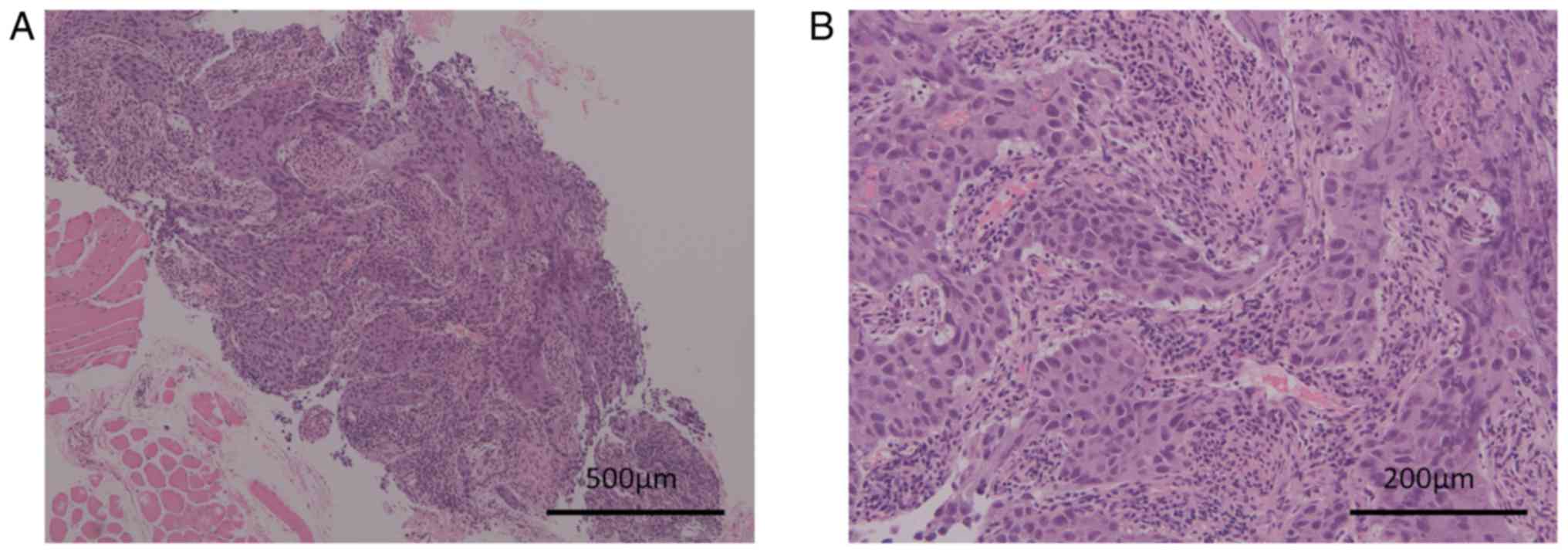
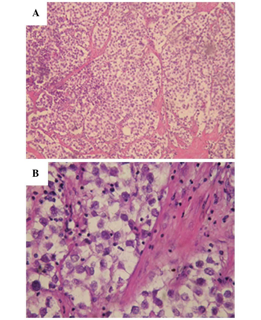
What are germ cell tumors? Germ cell tumors are relatively rare and represent a highly curable epithelial cancer. Germ cell tumor (gct) is a neoplasm derived from germ cells.

We describe two cases presenting as primary retroperitoneal germ cell tumors without clinical evidence of testicular tumor.

In adults, the most common sites are the anterior mediastinum, retroperitoneum. Germ cells normally occur inside the gonads (ovary and testis). Testicular germ cell tumor presenting with spontaneous complete or partial regression (j ultrasound med 2003;22:515, j urol 2009;182:2303, case rep metastatic symptoms are the most common initial presentation: In adults, the most common sites are the anterior mediastinum, retroperitoneum.

Posting Komentar untuk "View Extragonadal Germ Cell Brain Tumor UK"